Implanty Warszawa

Implanty zębowe to jeden z najnowocześniejszych sposobów na odbudowę brakujących zębów, a Warszawa oferuje wiele możliwości w tym zakresie. Wybór odpowiedniego specjalisty oraz kliniki jest kluczowy dla sukcesu całego zabiegu. W stolicy Polski można znaleźć zarówno renomowane gabinety stomatologiczne, jak i nowoczesne centra implantologiczne, które dysponują najnowszym sprzętem oraz technologią. Przed podjęciem decyzji warto zwrócić uwagę na doświadczenie lekarza oraz opinie pacjentów, którzy wcześniej korzystali z jego usług. Ważnym aspektem jest także konsultacja wstępna, podczas której lekarz oceni stan jamy ustnej oraz zaproponuje najlepsze rozwiązania. Koszt implantów w Warszawie może się różnić w zależności od wybranej kliniki oraz zastosowanych materiałów, dlatego warto porównać oferty różnych placówek.

Jakie są zalety i wady implantów zębowych w Warszawie

Implanty Warszawa
Implanty Warszawa

Implanty zębowe mają wiele zalet, które przyciągają pacjentów do ich stosowania. Przede wszystkim są one trwałym rozwiązaniem, które może służyć przez wiele lat, a nawet przez całe życie, jeśli będą odpowiednio pielęgnowane. Dzięki nim można przywrócić pełną funkcjonalność żucia oraz poprawić estetykę uśmiechu. W Warszawie dostępne są różne rodzaje implantów, co pozwala na indywidualne dopasowanie do potrzeb pacjenta. Jednakże, jak każde rozwiązanie medyczne, implanty mają również swoje wady. Proces ich wszczepienia wymaga przeprowadzenia zabiegu chirurgicznego, co wiąże się z ryzykiem powikłań oraz bólu pooperacyjnego. Dodatkowo, nie każdy pacjent może być kandydatem do tego typu leczenia ze względu na stan zdrowia lub niewystarczającą ilość kości w szczęce.

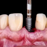
Jak przebiega proces zakupu i wszczepiania implantów w Warszawie

Proces zakupu i wszczepiania implantów zębowych w Warszawie składa się z kilku kluczowych etapów. Pierwszym krokiem jest umówienie wizyty konsultacyjnej, podczas której lekarz przeprowadza szczegółowy wywiad oraz wykonuje badania diagnostyczne, takie jak zdjęcia rentgenowskie czy tomografia komputerowa. Na podstawie tych informacji specjalista ocenia stan zdrowia pacjenta oraz planuje dalsze działania. Kolejnym etapem jest przygotowanie do zabiegu, które może obejmować leczenie stomatologiczne lub regenerację kości, jeśli to konieczne. Po zakończeniu przygotowań następuje właściwe wszczepienie implantu, które zazwyczaj odbywa się w znieczuleniu miejscowym. Po zabiegu pacjent otrzymuje zalecenia dotyczące pielęgnacji oraz diety na czas rekonwalescencji.

Jakie są koszty związane z implantami w Warszawie

Koszty związane z implantami zębowymi w Warszawie mogą być bardzo zróżnicowane i zależą od wielu czynników. Przede wszystkim cena implantu obejmuje nie tylko sam materiał wszczepiany do kości, ale także usługi stomatologiczne związane z jego wszczepieniem oraz późniejszymi wizytami kontrolnymi. Warto zwrócić uwagę na to, że ceny mogą się różnić w zależności od wybranej kliniki oraz doświadczenia lekarza prowadzącego. Dodatkowo niektóre placówki oferują różnorodne pakiety promocyjne lub rabaty dla nowych pacjentów, co może znacząco wpłynąć na końcowy koszt leczenia. Warto również pamiętać o dodatkowych wydatkach związanych z ewentualnymi zabiegami przygotowawczymi, takimi jak regeneracja kości czy leczenie chorób przyzębia.

Jakie są najnowsze technologie w implantologii w Warszawie

W Warszawie, jak i na całym świecie, rozwój technologii w dziedzinie implantologii zębów przynosi coraz to nowsze rozwiązania, które poprawiają komfort i efektywność leczenia. Jednym z najważniejszych osiągnięć jest zastosowanie cyfrowego planowania zabiegów, które pozwala na precyzyjne zaplanowanie umiejscowienia implantu oraz jego kształtu. Dzięki temu lekarze mogą lepiej dostosować leczenie do indywidualnych potrzeb pacjenta, co zwiększa szanse na sukces całego procesu. Kolejną nowinką są implanty wykonane z materiałów biokompatybilnych, które minimalizują ryzyko odrzutu przez organizm. W Warszawie wiele klinik korzysta również z technologii CAD/CAM, która umożliwia szybkie i precyzyjne wykonanie koron protetycznych, co znacznie skraca czas oczekiwania na finalny efekt. Dodatkowo, niektóre placówki oferują zabiegi przy użyciu lasera, co zmniejsza ból oraz obrzęk pooperacyjny.

Jakie są opinie pacjentów o implantach w Warszawie

Opinie pacjentów dotyczące implantów zębowych w Warszawie są zazwyczaj pozytywne, co potwierdza rosnącą popularność tego typu leczenia. Pacjenci cenią sobie przede wszystkim trwałość oraz estetykę implantów, które pozwalają na przywrócenie naturalnego wyglądu uśmiechu. Wiele osób podkreśla również poprawę jakości życia po zabiegu, ponieważ implanty umożliwiają swobodne jedzenie oraz mówienie bez obaw o wypadnięcie protez. Warto jednak zauważyć, że niektórzy pacjenci zwracają uwagę na koszty związane z leczeniem oraz czas potrzebny na pełne zakończenie procesu, który może trwać kilka miesięcy. Dlatego przed podjęciem decyzji warto zapoznać się z różnymi opiniami oraz doświadczeniami innych pacjentów, aby lepiej zrozumieć, czego można się spodziewać.

Jakie są alternatywy dla implantów zębowych w Warszawie

Choć implanty zębowe są jednym z najskuteczniejszych rozwiązań w przypadku brakujących zębów, istnieją także alternatywy, które mogą być odpowiednie dla niektórych pacjentów. Jedną z najpopularniejszych opcji są mosty protetyczne, które polegają na zamocowaniu sztucznych zębów do zdrowych zębów sąsiadujących z luką. Mosty są mniej inwazyjne niż implanty i mogą być wykonane szybciej, jednak wymagają oszlifowania zdrowych zębów. Innym rozwiązaniem są protezy ruchome lub stałe, które również pomagają w odbudowie brakujących zębów. Protezy ruchome mogą być łatwiejsze do usunięcia i czyszczenia, ale nie zawsze zapewniają taką samą stabilność jak implanty. Warto również rozważyć leczenie ortodontyczne w przypadku problemów ze stłoczeniem zębów lub ich niewłaściwym ustawieniem.

Jak dbać o implanty zębowe po ich wszczepieniu w Warszawie

Prawidłowa pielęgnacja implantów zębowych jest kluczowa dla ich długowieczności oraz zdrowia jamy ustnej. Po wszczepieniu implantu ważne jest przestrzeganie zaleceń lekarza dotyczących higieny oraz diety. Zaleca się unikanie twardych pokarmów przez pierwsze dni po zabiegu oraz stosowanie łagodnych środków przeciwbólowych w razie potrzeby. Codzienna higiena jamy ustnej powinna obejmować dokładne szczotkowanie zarówno naturalnych zębów, jak i okolic implantu. Używanie nici dentystycznej lub specjalnych szczoteczek międzyzębowych może pomóc w usuwaniu resztek pokarmowych oraz płytki bakteryjnej wokół implantu. Regularne wizyty kontrolne u stomatologa są równie istotne; lekarz będzie mógł monitorować stan implantu oraz otaczających go tkanek. Dbanie o zdrowie dziąseł jest kluczowe dla utrzymania stabilności implantu; należy unikać palenia papierosów oraz dbać o ogólną kondycję zdrowotną organizmu.

Jak wybrać najlepszą klinikę do wszczepienia implantów w Warszawie

Wybór odpowiedniej kliniki do wszczepienia implantów w Warszawie jest kluczowy dla sukcesu całego procesu leczenia. Istotnym krokiem jest zebranie informacji o dostępnych placówkach oraz ich ofercie. Warto zwrócić uwagę na doświadczenie lekarzy prowadzących oraz ich kwalifikacje w dziedzinie implantologii. Opinie pacjentów mogą być pomocne przy podejmowaniu decyzji; warto poszukać recenzji online lub zapytać znajomych o rekomendacje. Dobrym pomysłem jest także umówić się na konsultację przed podjęciem decyzji; podczas wizyty można ocenić atmosferę panującą w klinice oraz zadawać pytania dotyczące przebiegu zabiegu i kosztów związanych z leczeniem. Ważne jest również sprawdzenie dostępności nowoczesnych technologii oraz sprzętu medycznego wykorzystywanego w danej placówce; im bardziej zaawansowane technologie, tym większa szansa na sukces zabiegu oraz szybszą rekonwalescencję.

Jak wygląda proces rehabilitacji po wszczepieniu implantów w Warszawie

Rehabilitacja po wszczepieniu implantów zębowych to kluczowy etap procesu leczenia, który ma na celu przywrócenie pełnej funkcjonalności jamy ustnej oraz zapewnienie komfortu pacjentowi. Po zabiegu lekarz zazwyczaj zaleca odpoczynek przez kilka dni oraz unikanie intensywnego wysiłku fizycznego. W tym czasie ważne jest przestrzeganie zaleceń dotyczących diety; zaleca się spożywanie miękkich pokarmów oraz unikanie gorących napojów i alkoholu przez pierwsze dni po operacji. Kontrola bólu może być realizowana za pomocą leków przeciwbólowych przepisanych przez lekarza lub dostępnych bez recepty. Regularne wizyty kontrolne pozwalają lekarzowi monitorować proces gojenia się tkanek wokół implantu oraz ocenić jego stabilność. Po kilku miesiącach następuje etap montażu korony protetycznej, co kończy proces rehabilitacji i pozwala pacjentowi cieszyć się pełną funkcjonalnością uśmiechu.

Jak długo trwa proces wszczepiania implantów w Warszawie

Czas trwania procesu wszczepiania implantów zębowych w Warszawie może się różnić w zależności od wielu czynników, takich jak stan zdrowia pacjenta czy skomplikowanie przypadku klinicznego. Zazwyczaj cały proces można podzielić na kilka etapów: konsultacja początkowa, zabieg wszczepienia implantu oraz okres gojenia przed montażem korony protetycznej. Konsultacja początkowa może trwać od jednej do kilku wizyt, podczas których lekarz przeprowadza badania diagnostyczne i planuje dalsze działania. Sam zabieg wszczepienia implantu trwa zazwyczaj od 1 do 2 godzin i odbywa się w warunkach ambulatoryjnych pod znieczuleniem miejscowym.